|
|
 |
|
|
콧물은 ''감기의 씨앗'' ?
몸이 보내는 신호 제대로 못 알아차렸군요!
맑은 콧물 흐르다 누렇게 변하면 ---> 단순 코감기 / 황색 콧물 일주일 넘게 나오면 ---> 축농증 의심 /
몸이 평소와 다른 반응을 보... |
|
|
|
|
 |
|
|
중장년이 왜 어지러움증이 많을까?
강서하나이비인후과 이노희 원장
최근 어지럼에 대한 연구가 많이 됨에 따라 어지럼에 진단 및 치료가 과거에 비해 많이 발전했다. 대부분 달팽이관과 연결되어 있는 전정기관의 문제로 인해 ... |
|
|
|
|
 |
|
|
매주 10여명씩 코 후빈 지 20년…심각한 비염, 아내는 침대 밑 피신늘 '참으세요' '곧 끝나요' 했지만 정작 내가 병원에서 치료 받았더니 눈물이 쏙 빠질 만큼 너무 아팠다… 이제 환자 사정 이해할 수 있게 돼
.par:after{display:bl... |
|
|
|
|
 |
|
|
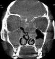
코 질환의 여러증상 중에서도 코막힘은 특히 환자를 가장 불편하게 한다. 이런 코막힘의 흔한 원인중 하나가 비중격만곡증이다. 비중격은 양쪽 콧구멍을 나누는 칸막이 뼈로, 이것이 어느 한쪽으로 휘어져 있는 경우를 비중격만곡증이라 한다.
&... |
|
|
|